Our Vision
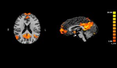
Our lab is dedicated to unraveling the psychological and neurobiological risk factors that contribute to the onset of mental health symptoms during periods of hormonal changes in women of reproductive age. We focus on critical stages, such as menstruation, pregnancy, and postpartum, when hormonal fluctuations can significantly impact mental health. Through our research, we seek to understand how early-life adversities, particularly exposure to childhood trauma, increase the vulnerability to mood and anxiety disorders during these times. Our approach is a multidisciplinary approach to research, integrating clinical assessments with advanced neuroimaging techniques, including functional and structural MRI and Diffusion Tensor Imaging (DTI). By exploring the interplay between psychological factors and brain patterns, we aim to identify biomarkers and psychosocial determinants that can predict mental health risks in reproductive-age women. This knowledge is crucial for the early identification and development of effective intervention for women at high risk of developing conditions like premenstrual symptoms and premenstrual dysphoric disorder (PMDD), perinatal mood and anxiety disorders and post-traumatic stress disorder (PTSD) in the perinatal period. We also lead large-scale longitudinal studies to investigate the effects of external stressors, such as the COVID-19 pandemic and other traumatic events, on pregnancy, maternal health and beahviour, and child development. Our lab's collaborative efforts extend across various specialties, ensuring a comprehensive approach to women’s mental health research. The laboratory is located within the outpatient clinics of the psychiatry division at Tel-Aviv Medical center - Ichilov. We work in proximity with the psychiatric services of women's health, Lis Maternity and Women's Hospital, and ELSC MRI Centers, and various laboratory around Israel specializing in early adversity and women's health, as well as international collaborations. to Trauma and Post-Traumatic Stress Disorder (PTSD) Our research project focuses on understanding the neurobiological imprint of exposure to trauma and the development of PTSD. Through large, multi-center clinical neuroimaging studies, we aim to characterize the behavioral and neuroimaging phenotypes of PTSD, leveraging advanced multimodal functional imaging techniques. These include functional MRI and Diffusion Tensor Imaging (DTI) to assess both functional and anatomical connectivity, as well as magnetoencephalography (MEG) for higher temporal resolution. Our research has revealed significant alterations in the default mode network’s anatomical and functional connectivity in PTSD patients, both from civilian and military-related trauma. Additionally, our studies have identified altered cerebral benzodiazepine receptor binding, shedding light on the neurochemical changes associated with PTSD. We also explore neural oscillations during the recollection of traumatic memories, contributing to a deeper understanding of the mechanisms underlying intrusive symptoms, hyper-arousal, and attention deficiencies in PTSD. The insights gained from this project are crucial for advancing the development of targeted interventions and therapies to alleviate the profound impact of trauma on the brain and mental health. of Premenstrual Dysphoric Disorder (PMDD) Our research delves into the psychological and neural underpinnings of PMDD, a severe mood disorder that significantly impacts many women’s lives during the luteal phase of their menstrual cycle. PMDD is regarded as an ‘in-vivo’ model for women with increased sensitivity to physiological fluctuations in sex-hormone levels, providing a unique lens through which we can study the broader implications of hormone-driven mood disorders. We investigate the difficulties in emotional regulation that are often observed in women with PMDD, exploring how these difficulties may contribute to the distressing symptoms experienced premenstrually. Our studies highlight how emotional regulation dysfunction plays a prominent role in premenstrual symptoms, particularly in women who have been exposed to childhood trauma. Additionally, we focused on identifying trait-related differences in neural network connectivity, particularly during tasks involving emotional processing, such as face-matching. The findings from this research have been presented at international conferences and published in high-ranking journals, further contributing to our understanding of PMDD. By examining these psychological and neural correlates, our research aims to inform more effective treatment strategies that target both the emotional processing and neural mechanisms underlying this disorder, ultimately improving the quality of life for those affected. During Pregnancy and Postpartum Our research project aims to identify the psychological and neural correlates of maternal childhood trauma to predict the risk of mood and anxiety symptoms during pregnancy and the postpartum period. This ongoing multidisciplinary longitudinal study combines psychosocial determinants and advanced multimodal imaging techniques, including functional MRI and diffusion tensor imaging, to assess women’s preconception vulnerabilities. By examining the influence of early-life adversity on maternal mental health, we aim to uncover key risk factors that could inform early interventions for pregnant and postpartum women. This project is particularly significant, as maternal mental health conditions such as depression and anxiety can impact both the mother and child’s well-being, potentially leading to long-term developmental consequences for the child. *Funded by the ISF Our research focuses on understanding the significant impact that adverse life events can have on women’s health, particularly mental well-being. We explore how factors such as cultural background, environmental stressors, and specific life stages—such as pregnancy and the postpartum period—contribute to an increased risk of mental health challenges. This work is particularly important as it sheds light on how these stressors can intensify during critical times in a woman’s life, leading to conditions like postpartum depression. By identifying the mechanisms through which these adverse experiences affect mental health, our research aims to inform the development of targeted interventions that can better support women in overcoming these challenges. As part of an international collaboration, we investigated the psychological implications of the COVID-19 pandemic among pregnant women. Lately, we have returned to investigate the same cohort to examine how the current events of the war in Israel influences the mothers and their offspring. *Funded by the ISF From The Press
Highlight Publications
Our Team
Research



